 |
「千尋」が「鬼滅」に抜かれる前に興収上乗せ - 芸能 : 日刊スポーツ |
|
発生確率は80%超…!? 次の巨大地震が襲う「大都市」の名前 |
|
森友事件・赤木雅子さんの「正直パワー」は忖度社会を穿つか |
|
二人の高校生が始めた文献探しサイトImagine Easyが年間ユーザ1億を突破 |
 |
Facebookが1兆円もの税金を払っていないと国税庁に訴えられる |
 |
野間美由紀が5月2日に59歳で死去、「パズルゲーム」シリーズ2作を連載中 |
|
私はこうしてコロナの抗体を獲得した《前編》保健所は私に言った。「いくら言っても無駄ですよ」 |
 |
内田樹「日本社会の生きづらさに“現状維持”を望む若者 負のスパイラルの始まりだ」 |
 |
コロナで半分がなくなる?飲食店「倒産ドミノ」 服部校長や鎧塚パティシェらが必死の訴え | コロナショック、企業の針路 | 東洋経済オンライン |
 |
声優・大塚明夫が男泣き!小島秀夫監督「DEATH STRANDING」完成に熱き思い |
 |
百田尚樹さん「死者が出たことを喜んでるのではないかとも思ってしまう」 テロ後の官房長官の遊説を批判した岡田克也代表に |
 |
夫婦同姓で苦労する女性、先進国では日本のみ |
 |
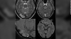
脳の中に幼虫が寄生、長年続いた頭痛の原因 豪女性 |
|
『FGO』奈須きのこと『チェンクロ』松永純が語る、スマホならではの物語の見せ方とは |
 |
ウェブ関係者よ、PVの話をするのはもう止めよう « WIRED.jp |
|
すしざんまい社長が「海賊を撲滅」? 作家の高野秀行氏がブログで一蹴 |
 |
移民申請の外国人にも医療提供、全員に一時的な市民権 ポルトガル |
 |
赤城耕一の「アカギカメラ」 第3回:PENTAXの一眼レフ宣言によせて(銀塩編) |
 |
川内原発、あす午前に再稼働 新規制基準で初 |
 |
デンソーが「日本酒セーバー」発売へ 真空状態で酸化防ぐ |
 |
『Evernote』値上げに対して『OneNote』へデータをインポートするツールをMicrosoftが公開 |
|
ADSL事実上の“終了宣言” 大手通信、300万ユーザー乗り換え争奪戦 |
|
アメリカのコロナ感染死者数 第1次世界大戦における同国の死者数を超える |
|
「ER」ロス先生とドクター・ハウスが夢の共演!同窓会がまさかの展開に? |
 |
人類3種が数万年も共存、デニソワ人研究で判明 |
|
「結婚しなくて何が悪い!?」生涯独身の“ソロ男”を否定する日本社会に物申す |
 |
Apple、13インチMacBook Proをアップデートして Magic Keyboardと2倍のストレージを搭載 |
 |
韓国企業は「身を切るリストラ」を迫られる2016年は「緊縮経営」と「構造調整」の年 - 韓国・北朝鮮 |
|
10杯飲んでも1000円!ビールが驚くほど安い新宿の居酒屋5選 |
|
猫顔アプリで猫化した飼い主を見たときの猫の反応 |
 |
CNN.co.jp : ヌーディストにマスク着用を指示、裸はOK チェコ警察 |
|
アルマーニ 毛皮使用廃止へ |
|
子猫にお風呂でリラックスできるよう…浮き輪を作ってあげた(動画) |
 |
知識が一目瞭然、「PCのどの分野に詳しいか」を可視化できるチェックシート無料公開中【やじうまWatch】 |
 |
“98%以上”PM2.5を除去する電動マスク「Atmōs」--顔を隠さず、眼鏡も曇らない |
|
とにかく明るい安村 不倫報道 |
 |
半減案も浮上、「専業主婦の年金問題」の核心 適用拡大と公的年金等控除縮小で解決に | 岐路に立つ日本の財政 | 東洋経済オンライン |
|
知ろうとすること。早野龍五×糸井重里 |
|
コロナ脳の特徴と分析(シリーズ1) |
 |
福島原発事故:当時5歳が甲状腺がんの疑い |
 |
ドナルド・トランプ氏の準備はかなり前から始まっていた。【アメリカ大統領選】 |