 |
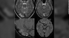
脳の中に幼虫が寄生、長年続いた頭痛の原因 豪女性 |
 |
東大祝辞・上野千鶴インタビュー 「当たり前のことを言っただけ」 |
|
デザインのどこを直したらいいの?「デザインまちがい探し」であなたのデザイン力を確認! |
 |
スター・ウォーズのエイブラムス監督 新作の惑星は「高田馬場」から命名 |
|
東京芸大教授がセクハラ、女子学生の胸触り停職 |
|
中国山東省の化学工場で爆発と火災 NHKニュース |
 |
ケンタッキーが「例のシロップ」をボトル販売中 デブ活まったなし? |
 |
歴史に名を残せエスカルゴ牧場 |
|
【画像】 大学生が松屋のソース入れを口につけてチュウチュウ→Twitterに投稿し炎上 |
 |
米グーグル囲碁AI、世界トップ級棋士に初戦勝利 :日本経済新聞 |
|
ニューヨークに光が射す |
|
誤解しないで。震災後に子どもがやる「変わった遊び」 |
 |
太陽系外から来た天体、地球大気圏で焼失か? |
|
【パリ同時多発テロ】「過剰反応こそテロの狙い」池内恵・東京大学教授 |
 |
凍てつく海から5000匹近いウミガメを救出 米テキサス州の島 |
|
「F1ファンはエンジンの熱効率ではなくドライバーのバトルが見たい」 |
 |
部活など教員の土日の勤務記録削除指示 滋賀・日野町教委「残業超過避けるため」 |
 |
PS4値下げ 3万4980円に |
|
sigbus.info: 転職して7年が過ぎた |
|
出火時、言い争う声 父「俺が悪かった」 大分・杵築 |
 |
固定回線の代わりに5G ドコモがホームルーター発売 |
 |
<CNET Japan>グーグル対オラクルのJava訴訟、米最高裁がグーグルの上告を棄却--Reuters |
 |
日本と英国における『日常生活のハードル』の違いについて考えた漫画に共感する声「楽して生きるのは悪い事じゃない」「どっちが良い悪いではない」 - Togetter |
 |
AWSが任天堂の「Nintendo Switch Online」に採用|アマゾンジャパン合同会社のプレスリリース |
|
「絶歌」がベストセラー1位になり酒鬼薔薇聖斗と太田出版大勝利へ…被害者遺族を無視して金儲けの為に出した本が日本で今一番売れているというクソみたいな現実 |
|
外務省、公開済み内容を「不開示」に 沖縄返還文書など:朝日新聞デジタル |
 |
やさしいタオル2015 夏 |
|
サグラダ・ファミリアにようやく建築許可が下りる 約5億6400万円支払い |
|
ゲーム条例賛成に同一文言が複数|NHK 香川県のニュース |
|
逮捕の母、「1人で3軒飲みに行った」と供述 高松の2児車内放置死 |
|
彼氏が一度もいたことがない私が落ちる職種別プロポーズ 10選【完全保存不要版】 |
 |
トイレの後に手を洗わないことが生の鶏肉よりも主要な大腸菌感染源となっている |
|
小4意識不明 加害男児を通告 |
|
うつ病を克服した女性、自身の体験したうつ病の症状をTwitterでシェアしたところ大きな反響(イギリス) |
 |
小島監督が海外インタビューで想い語る―「目先の利益を追求すれば時代に取り残される」 | Game*Spark - 国内・海外ゲーム情報サイト |
 |
後藤輝樹氏の「政見放送」、過激すぎてMXが音声一部削除 何を言っても良いの? 都知事選 |
 |
プリンスのインストゥルメンタル・トラックで構成されたミックス音源1時間が公開中 |
 |
日産、「GT-R NISMO」2022年モデル先行公開 |
|
限界ネトウヨと右翼ヘゲモニーの終焉 |
|
【断末魔の中国】中国・武漢から30万人が大脱走!? 2月末に不可解な「3時間の封鎖解除」 サイエンス誌「世界で急増…パンデミックは回避できないかもしれない」 |
 |
今年の漢字:「安」に決まる 2位は「爆」、3位は「戦」 |
|
緊急宣言解除 諮問委が了承 |
 |
旅行者のために機能性・収納性を突き詰めて誕生したバリスティックナイロン素材の一見シンプルなバックパック「Aer Travel Pack」 |
 |
噴出する消費増税への不満。「便乗値上げがひどい」「給与が上がらず購買意欲が湧かない」 | ハーバー・ビジネス・オンライン |
|
【メガプレミアム】韓国の“救いがたき”潜水艦事情…粗製濫造で出撃できず、海軍兵は「狭い艦内は嫌」と任務を敬遠 |
|
学部と大学院がなくなる! 東工大が数十年に一度の大学改革を決行!(山田久美) - 個人 - Yahoo!ニュース |